TecnoXplora » CienciaXplora » Divulgación

NACE CON DOS FETOS EN SU INTERIOR

El extraño caso de la bebé que nació “embarazada de gemelos”

Un equipo de médicos de Hong Kong se encontró en el interior de una niña que acababa de nacer una especie de “fetos” parcialmente formados, un fenómeno extremadamente raro.

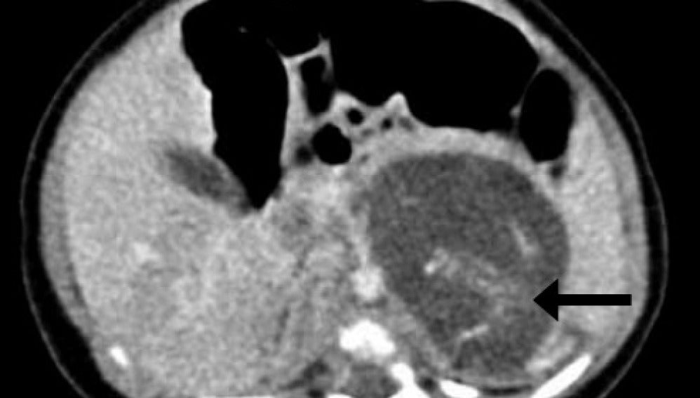
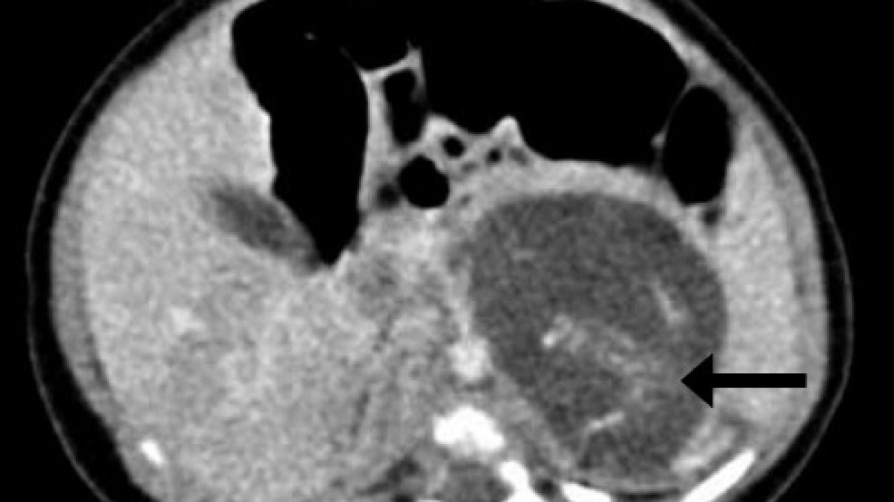
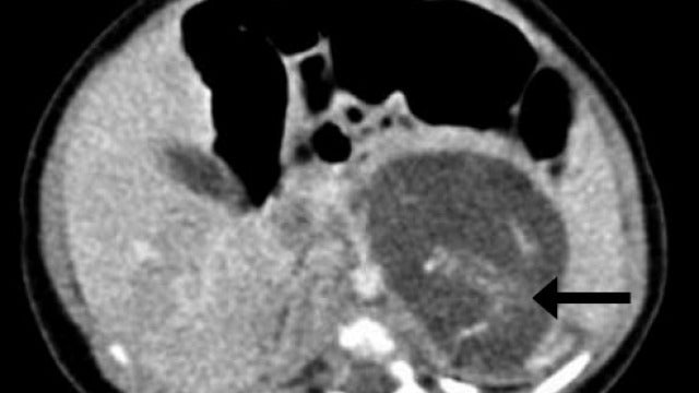
Tomografia computarizada mostrando la espina dorsal de uno de los dos "fetos" Hong Kong Med Journal

Todos conocemos las famosas matrioskas, las muñecas rusas que esconden en su interior otras más pequeñas. Pues bien, en el parto que atendieron en un hospital de Hong Kong un equipo médico se encontró algo similar, ya que halló lo que parecían ser un par de fetos dentro del cuerpo de una niña recién nacida.

Este cuadro médico tiene la probabilidad de producirse de una vez cada medio millón de nacimientos y solamente hay unos 200 casos documentados en el mundo, según el estudio publicado recientemente en 'Hong Kong Medical Journal'. Un caso parecido se describió en 1984, después de practicar una cesárea a una madre embarazada de ocho meses.

Cada “feto” tenía cuatro extremidades, piel, una caja torácica, los intestinos y un tejido cerebral primitivo. Ambos estaban unidos por un cordón umbilical, según describen los especialistas que atendieron atónitos al parto, que tuvo lugar en 2010.

La recién nacida pesó cuatro kilos y medio y se recuperó bien de la operación de extirpación de los dos “entes” que albergaba en su interior.

Ahora viene la pregunta que todos nos hacemos y que, lamentablemente, aún sigue sin respuesta clara: ¿Se pueden denominar fetos? Según el investigador principal, Nicholas Chao, pueden ser considerados como fetos que han pasado su etapa de gestación o como un tipo muy maduro de tumor, conocido como 'teratoma' (del griego 'teras' = pesadilla y '-oma' = tumor).

Chao piensa que al producirse al final de la gestación resulta difícil elegir entre las dos teorías, aunque la OMS clasifique este fenómeno de “feto dentro de feto” en la segunda de ellas. Sea lo que sea, es necesario investigar más en profundidad el fenómeno para ver por qué se produce.

El estado de desarrollo de los fetos (o tumores) podría situarse entre las ocho y diez semanas de gestación, según los expertos. Tenían espinas dorsales, genitales externos ambiguos y aún no habían desarrollado el cráneo.

Las ecografías de la madre en los primeros meses del embarazo eran absolutamente normales, lo que podría sugerir que los dos fetos que se desarrollaron dentro del feto podrían ser “fetos parasitarios que habían crecido poco a poco con el embrión principal”, según el estudio.

La teoría habitual para estos casos es que los fetos adicionales se desarrollan desde el principio del embarazo, para luego ser absorbidos por el principal, dejando de crecer. Pero aquí las dos masas con tejido no se descubrieron hasta las 37 semanas, teniendo las dos un idéntico nivel de desarrollo de órganos.

A pesar de la sorpresa su presencia jamás fue vista como una amenaza para la vida de la niña. “Es algo casi imposible de detectar durante el control prenatal, por el tamaño tan pequeño del embrión”, según afirma un especialista en obstetricia y ginecología a 'International Business Times'.

Quedan, por tanto, muchos casos parecidos por investigar para resolver el misterio de los “bebés matrioskas”.