TecnoXplora » SINC

Confirmado el potencial de las células madre mesenquimales para tratar el lupus

Confirmado el potencial de las células madre mesenquimales para tratar el lupus

Científicos españoles han probado con éxito una terapia con células madre mesenquimales en tres pacientes con lupus eritematoso sistémico afectados en el riñón, que ya no respondían a los tratamientos convencionales. En los tres casos se detuvo el brote con buenos resultados, lo que permitió reducir las dosis de medicamentos entre un 50 y un 90%.

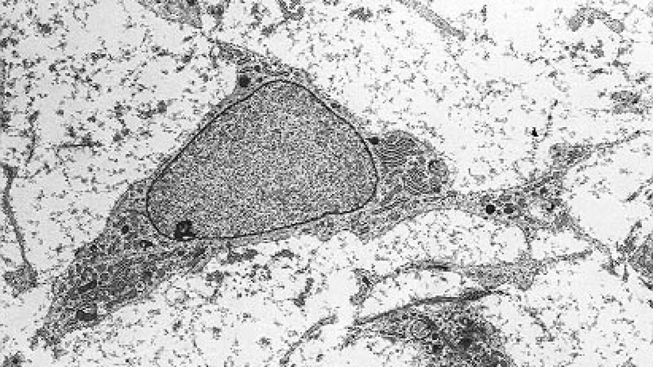
Células madre mesenquimales Sinc

Investigadores del Hospital Clínico Universitario de Valladolid y del Instituto de Biología y Genética Molecular (IBGM) –centro mixto de la Universidad de Valladolid y el CSIC– han probado con éxito una terapia con células madre mesenquimales en tres pacientes con lupus eritematoso sistémico (LES) afectados en el riñón, que ya no respondían a los tratamientos convencionales.

“El lupus suele evolucionar por brotes y cuando los pacientes no responden al tratamiento se produce un gran problema”, explica el investigador del IBGM Javier García-Sancho, coautor del trabajo, encabezado por la investigadora del Hospital Clínico Universitario Julia Barbado.

Estudios previos en animales y humanos habían sugerido el potencial de las células madre mesenquimales de la médula ósea, también conocidas como células estromales o MSC –por sus siglas en inglés– en el tratamiento del lupus, ya que se considera que la enfermedad puede ser producto de una alteración en el tejido mesenquimal, aquel que da lugar, por ejemplo, a huesos, músculos o cartílagos.

“En la literatura había datos prometedores, sobre todo en pacientes de países orientales, sobre el trasplante de células mesenquimales, así que preparamos los casos previos. Esto requiere la realización de un ensayo clínico, que ya ha sido aprobado por la Agencia Española de Medicamentos y Productos Sanitarios”, detalla García-Sancho.

En este trabajo, publicado en la revista Lupus, incluyeron a tres pacientes crónicos con más de 20 años de evolución, en los que la enfermedad había avanzado notablemente. La principal condición era que tuvieran una afectación renal importante, ya que “las pruebas más sencillas y concluyentes para determinar la eficacia del tratamiento con células mesenquimales se realizan vía orina, comprobando si se pierden proteínas o no”, apunta el investigador.

La terapia, consistente en la introducción por vía endovenosa de 90 millones de células madre mesenquimales, se administró cuando los pacientes se encontraban en momento de brote y no respondían al tratamiento previo. Después, se realizó seguimiento de los pacientes midiendo diferentes parámetros, específicos del riñón y generales, tras 1, 3, 6 y 9 meses del tratamiento.

En los tres casos se detuvo el brote con buenos resultados, lo que permitió reducir las dosis de medicamentos entre un 50 y un 90%, lo que respalda la realización del ensayo clínico aleatorizado y controlado. “Los resultados han sido prometedores y en cuanto obtengamos financiación iniciaremos el ensayo”, concluye Javier García-Sancho.

Afecta a unas 20.000 personas en España

El lupus se encuadra dentro de las patologías autoinmunes. En ellas, el sistema inmunológico se ‘confunde’ y no diferencia entre los antígenos extraños (microbios) y los propios de nuestras células, que son atacadas produciendo inflamación y daño en los tejidos del organismo.

Se trata, como su nombre indica, de una enfermedad sistémica, y los enfermos pueden sufrir brotes que afectan a diferentes órganos como piel, articulaciones, riñones, corazón o pulmones.

Se calcula que afecta a cerca de 20.000 personas en España, principalmente a las mujeres en época fértil, entre los 20 y los 40 años.

Los pacientes sufren fases de brote y otras en las que los efectos remiten, aunque hay lupus muy severos y otros no tan graves, como los que se manifiestan con afecciones en la piel.

Al ser una enfermedad crónica, se requiere un adecuado seguimiento de estos pacientes y un tratamiento temprano de las complicaciones, lo que es fundamental para evitar que se produzcan daños graves en los órganos vitales. Sin embargo, el origen de la enfermedad es aún en buena parte desconocido y su tratamiento es complejo.

Referencia:

Barbado, J., Tabera, S., Sánchez, A., & García-Sancho, J. (2018). Therapeutic potential of allogeneic mesenchymal stromal cells transplantation for lupus nephritis. Lupus, 27(13), 2161-2165.

Más sobre este tema: