TecnoXplora » SINC

Descifradas las causas moleculares que determinan la evolución del linfoma

Descifradas las causas moleculares que determinan la evolución del linfoma

Investigadores españoles han coordinado un estudio del genoma y epigenoma completos del linfoma de células del manto que identifica nuevos mecanismos de activación de oncogenes y las alteraciones que provocan el progreso tan heterogéneo de este tumor.

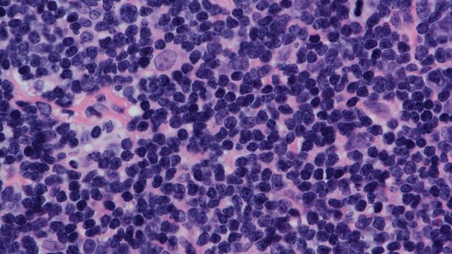
Linfoma de células del manto Sinc

El linfoma de células del manto es un cáncer de los glóbulos blancos de la sangre con una conducta clínica muy paradójica. Mientras que un subgrupo de pacientes tiene una enfermedad agresiva, difícil de tratar, otros siguen un curso indolente, incluso sin necesidad de tratamiento.

Un nuevo estudio, publicado en la revista Blood, analiza el genoma y epigenoma completos de este tumor e identifica nuevos mecanismos de activación de oncogenes y las alteraciones que determinan su progresión clínica tan diversa.

El trabajo ha sido coordinado por Silvia Beà y Elías Campo, del Instituto de Investigaciones Biomédicas August Pi i Sunyer (IDIBAPS). También han participado miembros del grupo de Iñaki Martín-Subero y Xose A. Puente, de la Universidad de Oviedo, y colaboradores del Barcelona Supercomputing Center.

Gracias a la secuenciación, los autores han entendido mejor el origen de este linfoma e identificado nuevos mecanismos que permiten que el tumor se desarrolle más rápidamente

"Gracias a haber secuenciado el genoma completo de 61 pacientes junto con su epigenoma y transcriptoma (la forma en que se regulan y se expresan los genes), hemos entendido mejor el origen de este linfoma e identificado nuevos mecanismos que permiten que el tumor se desarrolle más rápidamente", comenta Campo.

La investigación ha demostrado que, a pesar de la diferente evolución clínica de las formas agresivas e indolentes de los tumores, la alteración oncogénica inicial de los dos subtipos es la misma y se produce por un error en la maduración de las células linfoides en la médula ósea.

Este error activa el oncogen Ciclina D1, que hace proliferar incontroladamente las células tumorales. “Fue sorprendente ver que esta alteración era la misma en los dos subtipos de la enfermedad y que se había originado, en ambos casos, en el mismo momento y en la misma célula precursora”, afirman los autores.

Posteriormente, las formas agresivas inactivan el gen ATM –un gen clave que ayuda a mantener la estabilidad del genoma– y desarrollan un marcado desorden de numerosos cromosomas, oncogenes y genes supresores.

Predecir el riesgo evolutivo de los pacientes

Por el contrario, las formas indolentes no tienen esta alteración y mantienen un genoma con muy pocas alteraciones. La rápida y diferente proliferación de las células tumorales en las dos formas de la enfermedad deja una huella permanente en el epigenoma –que se puede detectar fácilmente mediante un ensayo químico–. En combinación con alguna de las alteraciones genéticas, permite predecir la diferente evolución de los pacientes.

Este estudio demuestra la utilidad de los estudios genómicos y epigenómicos en la práctica clínica para mejorar el diagnóstico y tratamiento de los pacientes de cáncer

"Además de identificar nuevos mecanismos relevantes para entender la biología de este linfoma, hemos definido criterios genéticos y epigenéticos que podremos utilizar en la clínica para predecir de forma más precisa el riesgo evolutivo de los pacientes y, por tanto, ajustar el tratamiento de forma más personalizada", apunta Beà.

Este estudio demuestra la utilidad de los estudios genómicos y epigenómicos en la práctica clínica para mejorar el diagnóstico y tratamiento de los pacientes de cáncer. La gran cantidad de datos generados se han depositado en repositorios internacionales para que otros investigadores puedan acceder a ellos, acelerando así la investigación y el conocimiento sobre este linfoma.

 

Referencia:

Nadeu F*, Martin-Garcia D*, Clot G, Díaz-Navarro A, Duran-Ferrer M, Navarro A, Vilarrasa-Blasi R, Kulis M, Royo R, Gutiérrez-Abril J, Valdés-Mas R, López C, Chapaprieta V, Puiggròs M, Castellano G, Costa D, Aymerich M, Jares P, Espinet B, Muntañola A, Ribera-Cortada I, Siebert R, Colomer D, Torrents D, Gine E, López-Guillermo A, Küppers R, Martin-Subero I, Puente XS, Beà S*, Campo E*. ‘Genomic and epigenomic insights into the origin, pathogenesis and clinical behavior of mantle cell lymphoma subtypes’. Blood. 2020 Jun 25. doi: 10.1182/blood.2020005289.

El trabajo se ha llevado a cabo gracias a la financiación de varios proyectos del Fondo de Investigaciones Sanitarias, Instituto de Salud Carlos III, el Ministerio de Ciencia, Innovación y Universidades, National Institutes of Health de Estados Unidos y la Generalitat de Cataluña.

Más sobre este tema: