TecnoXplora » SINC

Descubierta una causa de resistencia múltiple a la quimioterapia del cáncer

Descubierta una causa de resistencia múltiple a la quimioterapia del cáncer

Los tumores a veces ofrecen cierta oposición a la quimioterapia. El espectro de resistencias inducidos es extenso e incluye fármacos usados en el tratamiento común de este tipo de cánceres, pero también medicamentos dirigidos a dianas moleculares recientes.

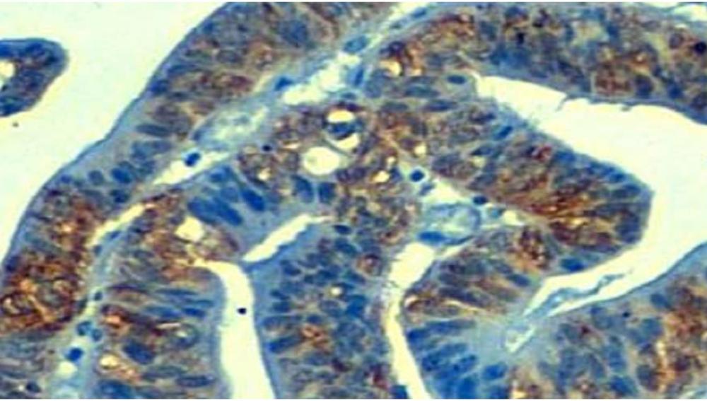
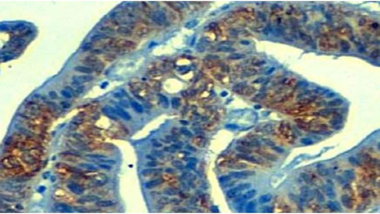
YBX1

Un nuevo estudio, desarrollado por científicos del Instituto de Investigación Biomédica de Bellvitge (IDIBELL), revela una causa de la resistencia mútiple en la quimioterapia del cáncer. El trabajo, publicado hoy en Proceedings of the National Academy of Science (PNAS), ha sido realizado por el grupo de Manel Esteller, director del programa de Epigenética y Biología del Cáncer (PEBC) del IDIBELL, investigador ICREA y profesor de Genética de la Universidad de Barcelona.

La introducción de la quimioterapia del cáncer supuso una revolución para el tratamiento de esa enfermedad en aquellos casos en que la curación no es ya posible solo con la mera extirpación del tumor.

La quimioterapia se ha demostrado efectiva en un amplio abanico de pacientes, pero uno de sus principales problemas es la aparición de resistencia contra el medicamento antitumoral usado.

Sin embargo, desde hace décadas se sabe que existen tumores que presentan una resistencia cruzada contra distintos fármacos desde su inicio, cuando aún no han sido tratados.

"Hemos encontrado que un 10% de tumores de colon y estómago presentan la pérdida de una molécula denominada TP53TG1, cuya función en células sanas es prevenir la activación de la proteína YBX1. Sin la vigilancia de TP53TG1 en estos tumores gastrointestinales, YBX1 se encarga de ir al núcleo de la célula y activar centenares de oncogenes que impedirán la muerte de las células malignas que inducen los fármacos antitumorales,” comenta Manel Esteller.

El espectro de resistencias inducidos por este mecanismo es extenso e incluye fármacos usados en el tratamiento común de este tipo de cánceres como el 5-fluorouracilo, el oxiplatino o el irinotecán, pero también medicamentos dirigidos a dianas moleculares recientes tales como los inhibidores de quinasas.

A partir de los resultados publicados en PNAS, explica Esteller, “nos falta por estudiar si queda algún fármaco que se escape a este mecanismo de quimioresistencia múltiple y también explorar si devolver la actividad de la molécula TP53TG1 significaría recobrar la sensibilidad de estos tumores a los fármacos analizados, lo que representaría un beneficio clínico para estos pacientes.” 

Referencia bibliográfica:

Diaz-Lagares A, Crujeiras AB, Lopez-Serra P, Soler M, Setien F, Goyal A, Sandoval J, Hashimoto Y, Martinez-Cardús A, Gomez A, Heyn H, Moutinho C, Espada J, Vidal A, Paúles MJ, Galán M, Sala N, Akiyama Y, Martínez-Iniesta M, Farré L, Villanueva A, Grossd M Diederichs S, Guil S, Esteller M. Epigenetic Inactivation of the p53-Induced Long Noncoding RNA TP53TG1 in Human Cancer. Proceedings of the National Academy of Sciences, doi/10.1073/pnas.1608585113.

Más sobre este tema: