TecnoXplora » SINC

Dos proteínas con importantes funciones fisiológicas salen a la luz

Dos proteínas con importantes funciones fisiológicas salen a la luz

Hasta ahora eran dos grandes desconocidas que habían pasado desapercibidas. Solo recientemente las proteínas p38γ y p38δ han comenzado a captar la atención de los científicos. Un equipo de investigadores recopila los últimos trabajos sobre ellas, poniendo de relieve su papel en ciertas enfermedades y reivindicando su potencial en el desarrollo de nuevos tratamientos.

Dos proteinas con importantes funciones fisiologicas salen a la luz Sinc

Las células que forman un organismo pluricelular necesitan estar continuamente comunicándose entre sí y reaccionando frente a cambios en el exterior, a daños o infecciones. Las p38MAPK son una familia de proteínas que participan en los procesos de señalización que coordinan la respuesta celular.

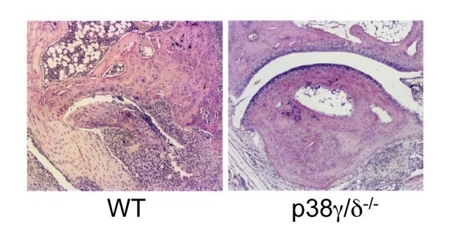
Durante años, dos de los cuatro miembros de esta familia (p38γ y p38δ) han pasado prácticamente desapercibidos para los científicos. Investigadores del Centro Nacional de Biotecnología del CSIC (CNB-CSIC) han puesto de manifiesto la importancia de estas dos desconocidas en sus trabajos de investigación y ahora en un nuevo artículo que recoge y actualiza los últimos estudios sobre ellas.

El estudio, publicado en Trends in Biochemical Sciences, destaca el papel de estas proteínas (conocidas como p38 alternativas) en patologías inflamatorias, cáncer, diabetes o procesos neurodegenerativos. Los autores consideran que podrían ser buenas dianas para el desarrollo de nuevas terapias contra estas enfermedades.

“Hasta ahora conocíamos muy poco sobre estas dos proteínas. Por eso no habíamos sabido apreciar las posibilidades que ofrecen para el tratamiento de enfermedades humanas”, explica Ana Cuenda, investigadora del CNB-CSIC y autora de este trabajo.

Según los investigadores, la falta de atención que hasta hace poco habían recibido las p38 alternativas se explica en parte por la falta de métodos adecuados para su estudio. En los últimos años, el desarrollo de nuevas herramientas farmacológicas y genéticas ha permitido a los científicos investigar en profundidad su función fisiológica y su papel en la enfermedad.

“Es estimulante ver cómo el esfuerzo invertido en la investigación básica podría desembocar en nuevas terapias contra patologías devastadoras” indica Cuenda. 

“Ahora sabemos que p38γ y p38δ son esenciales para el correcto funcionamiento del organismo y están implicadas en numerosas enfermedades humanas. Es el momento de explorar las posibilidades terapéuticas que este nuevo conocimiento nos ofrece”, concluyen los autores.

Referencia bibliográfica:

Cuenda A and Sanz-Ezquerro JJ “p38γ and p38δ: from spectators to key physiological players”. Trends in Biochem Sci, 2017.

Más sobre este tema: