TESTOSTERONA

Esta es la razón por la que los riñones femeninos son más resistentes

Según explica un reciente estudio científico, la clave está en la testosterona.

Esta es la razón por la que los riñones femeninos son más resistentesEFE

Losriñones femeninos son más resistentes que los masculinos a enfermedades y lesiones, pero hasta ahora se desconocía por qué. Un nuevo estudio experimental ha revelado que la clave está en la testosterona, y que la reducción de sus niveles puede contribuir a mejorar las enfermedades renales.

Así lo recoge una investigación con ratones liderada por científicos de la Escuela de Medicina Keck de la Universidad del Sur de California publicada hoy en la revista Developmental Cell, informa esta universidad en un comunicado.

Al ser los riñones femeninos más fuertes, los investigadores quisieron ver cuándo y de qué manera se "feminiza" o "masculiniza" la actividad genética de los riñones.

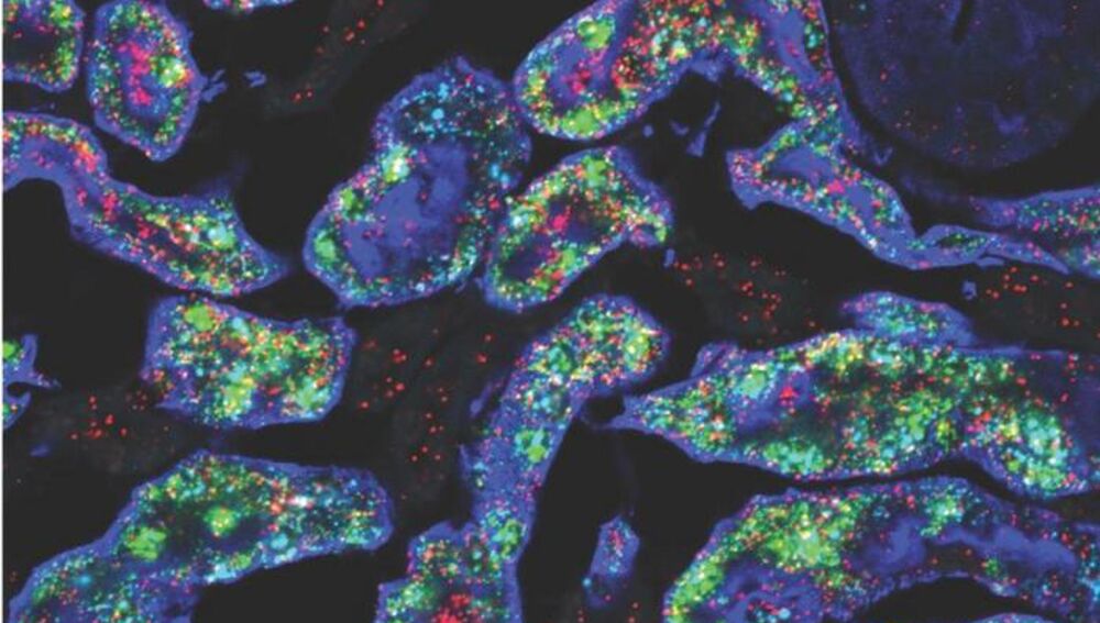
De este modo, identificaron más de 1.000 genes con distintos niveles de actividad en los riñones de ratones machos y hembras, especialmente diferentes en una unidad de filtración del riñón que se ocupa de reabsorber la nutrientes como la glucosa o los aminoácidos.

Estas diferencias de capacidades entre un sexo y otro aparecieron cuando los ratones entraron en la pubertad, y se acentuaron cuando alcanzaron la madurez sexual.

Para entender por qué ocurría esto, los investigadores usaron dos estrategias, por un lado castraron a los ratones machos antes de la pubertad para reducir sus niveles naturales de testosterona, y, por otro, eliminaron los sensores celulares conocidos como receptores de andrógenos que responden a las hormonas sexuales masculinas.

Al mismo tiempo, sometieron a otros ratones machos a tres meses de restricción calórica, una forma indirecta de reducir la testosterona.

La conclusión alcanzada es que la reducción de la testosterona, de una u otra manera, ayuda a la recuperación de ciertos tipos de lesiones renales en ratones.

Para comprobar si los mismos genes están implicados en las diferencias renales relacionadas con el sexo en los seres humanos, los científicos analizaron un número limitado de riñones y biopsias de donantes masculinos y femeninos.

Respecto a los genes que diferían en su actividad variando del sexo, advirtieron un modesto solapamiento de los genes humanos con los de los ratones.

Los científicos realizaron experimentos similares con hígados de ratón, otro órgano que presenta diferencias relacionadas con el sexo, pero vieron que estas surgieron de forma independiente durante la evolución.