AVANCE MÉDICO

Nueva estrategia para el tratamiento de uno de los cáncer infantiles más grave

Se trata del neuroblastoma y afecta principalmente a los menores de 5 años.

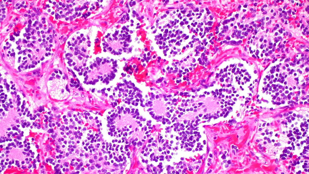
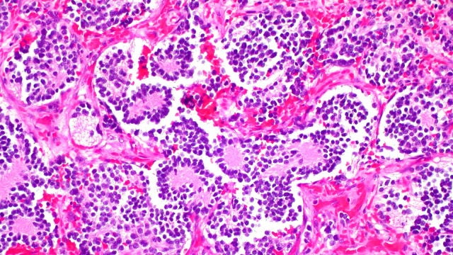
NeuroblastomaEd Uthman

El neuroblastoma es un tipo de cáncer que se inicia en las células llamadas neuroblastos, un tipo de células nerviosas inmaduras que se encuentran en diferentes órganos del cuerpo.

Los neuroblastos no son malos ni tienen un destino tumoral inequívoco. De hecho, son imprescindibles en la vida. Durante nuestro desarrollo embrionario, los neuroblastos proliferan y migran, dando origen al sistema nervioso central y periférico. Solo cuando se reproducen de forma incontrolada, es cuando pueden generar tumores como el neuroblastoma.

El problema es que no solo afecta a las células inmaduras, también a las vidas que recién se inician: suele afectar a los niños de 5 años o menos. Tanto que es el tumor más frecuente durante los 2 primeros años de vida y, después de los tumores del sistema nervioso central como conjunto, el tumor sólido más frecuente del niño. En total representa el 8-10% de los tumores pediátricos. Su incidencia estimada es de 1 por cada 70.000 recién nacidos vivos, lo que en España supone unos 100 casos al año, según datos de la Fundación Neuroblastoma.

Pero también hay un problema anexo: su capacidad de propagarse (la temida metástasis) a otras partes del cuerpo, como los huesos, la médula ósea y los ganglios linfáticos, lo que dificulta aún más su tratamiento. Además, el neuroblastoma puede causar diversas complicaciones según su origen y su extensión.

La buena noticia es que, si bien se trata de tumores agresivos y que afectan a menores, el pronóstico con el tratamiento adecuado es de una supervivencia que alcanza al 90% en los casos menos agresivos. En los más complejos, sin embargo, la supervivencia, se reduce a la mitad, a pesar de las combinaciones modernas de cirugía, radioterapia, quimioterapia e inmunoterapia que se utilizan en los tratamientos.

Ahora, un equipo de científicos del Instituto Karolinska y la Universidad de Lund (Suecia) han identificado una nueva estrategia de tratamiento para este tipo de tumores. De acuerdo con el estudio, publicado en Proceedings of the National Academy of Sciences, mediante la combinación de dos inhibidores de enzimas antioxidantes, han convertido células cancerosas de ratones en células nerviosas sanas.

"Los niños que sobreviven suelen presentar dificultades cognitivas de por vida debido al duro tratamiento, por lo que existe una gran necesidad de nuevas terapias para niños con neuroblastoma", explica Marie Arsenian Henriksson, profesora del Departamento de Microbiología, Biología Tumoral y Celular del Instituto Karolinska y líder del estudio.

La terapia de diferenciación es un método de tratamiento utilizado en el neuroblastoma que busca transformar las células cancerosas en células más maduras y sanas. El problema con la terapia de diferenciación actual con ácido retinoico es que muchos pacientes no responden al tratamiento y aproximadamente la mitad desarrollan resistencia, lo que pone obstáculos y deriva en efectos secundarios en pacientes que no tienen muchos recursos inmunológicos para pelear.

El equipo de Arsenian Henriksson ha demostrado que la inhibición de dos enzimas específicas, PRDX6 y GSTP1, podría ser una alternativa al tratamiento con ácido retinoico.

Y la clave está en que el neuroblastoma se caracteriza por un alto estrés oxidativo debido al metabolismo activo en las células cancerosas (básicamente su capacidad para reproducirse sin parar). Por lo tanto, los tumores dependen de enzimas antioxidantes como PRDX6 y GSTP1 para gestionar el estrés y evitar la muerte celular. Los niveles elevados de estas enzimas se asocian con un peor pronóstico.

"Al inhibir estas enzimas en cultivos celulares, así como en modelos murinos, algunas células tumorales mueren mientras que otras maduran y se convierten en neuronas sanas y activas, lo que dificulta el crecimiento tumoral", añade Judit Liaño-Pons, experta española en biología oncológica molecular y coautora del estudio.

El siguiente paso del equipo de Arsenian Henriksson, es evaluar los efectos del tratamiento en un ensayo clínico para investigar su seguridad y eficacia en niños. Uno de los inhibidores ya ha recibido la designación de medicamento huérfano (aquellos que no se desarrollan por motivos económicos) de la Administración de Alimentos y Medicamentos de Estados Unidos para el tratamiento de un diagnóstico diferente en adultos, lo que lo convierte en un candidato a fármaco particularmente prometedor.

TecnoXplora» CienciaXplora