TecnoXplora» SINC

MIELINIZACIÓN

La contaminación atmosférica afecta a la maduración cerebral del bebé

La exposición prenatal a la contaminación del aire se relaciona con una maduración más lenta del cerebro durante el primer mes de vida. Así lo ha revelado el primer estudio que mide con resonancia magnética la mielinización cerebral de los recién nacidos.

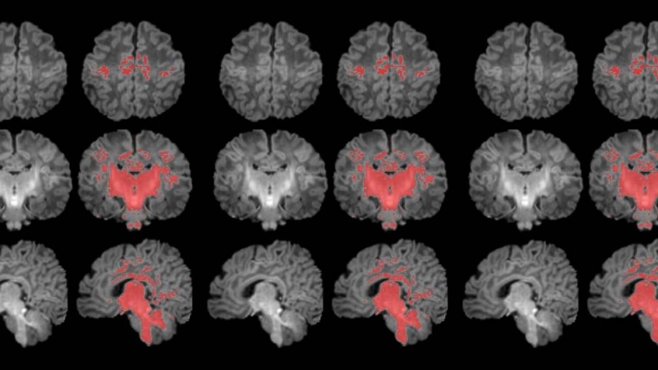
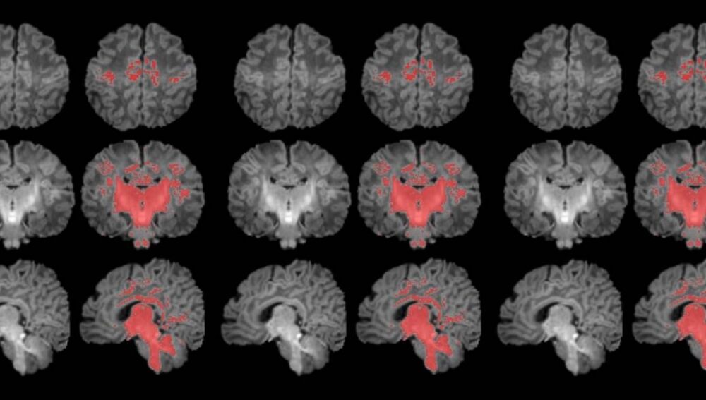
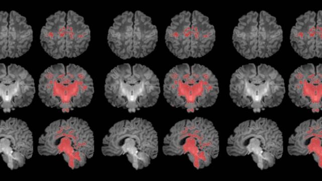
Resonancia magnética cerebralSinc

' data-block-on-consent="_till_accepted" rtc-config="{ "vendors": { "aps": {"PUB_ID": "5099","PARAMS":{"amp":"1"}} ,"richaudience":{"PLACEMENT_ID":"I3Rzxn7q0k"} ,"indexexchange":{"SITE_ID":"998187"} ,"openwrap":{"PROFILE_ID" : "11871", "PUB_ID" : "164115"} ,"criteo":{"ZONE_ID":"1784143"} }, "timeoutMillis":"1000" } ">

Un estudio publicado en la revista Environment Internationalconcluye que la contaminación atmosférica durante el embarazo se asocia con una maduración cerebral más lenta en los recién nacidos.

La mielinización es un proceso clave en la maduración del cerebro, en que la mielina recubre las conexiones neuronales

Se trata del primer trabajo que ha analizado en el primer mes de vida su desarrollo cerebral y surge de la colaboración entre investigadores del Hospital del Mar, del Instituto de Salud Global de Barcelona (ISGlobal), centro impulsado por la Fundación la Caixa, y del área de Epidemiología y Salud Pública del CIBER (CIBERESP).

La mielinización es un proceso clave en la maduración del cerebro, en que la mielina recubre las conexiones neuronales y las hace eficientes para la transmisión de información. Los recién nacidos de madres expuestas a niveles más altos de partículas finas en suspensión durante el embarazo muestran una mielinización más lenta en esta etapa tan precoz de la vida.

Tanto una ralentización como una aceleración excesiva de la maduración cerebral pueden ser perjudiciales para el niño o niña. Ahora queda por determinar si el efecto observado en este estudio tendrá consecuencias negativas en las capacidades de los pequeños.

Partículas producto de la combustión

La contaminación analizada incluye partículas muy pequeñas, unas treinta veces más delgadas que un cabello humano, y que están formadas por elementos nocivos derivados del proceso de combustión y compuestos orgánicos tóxicos, pero también por elementos esenciales para el desarrollo cerebral, como el hierro, el cobre o el zinc.

Por ello, todavía hay que investigar cómo afecta cada uno de estos componentes al desarrollo del cerebro de los recién nacidos.

En este sentido, según explica Gerard Martínez-Vilavella, investigador de la Unidad de Resonancia Magnética del Servicio de Radiología del Hospital del Mar, integrado en la red dibi, y del Instituto de Investigación del Hospital del Mar, "en el estudio vemos que el proceso de mielinización, un indicador de maduración cerebral que avanza progresivamente con el tiempo, presenta un ritmo más lento en los recién nacidos más expuestos a PM2.5 durante el embarazo".

Resonancia magnética en el primer mes de vida

Para llevar a cabo el estudio se reclutó a mujeres embarazadas en seguimiento en el Hospital Clínic Barcelona, el Hospital de Sant Pau y el Hospital Sant Joan de Déu. Se monitorizaron los niveles de contaminantes atmosféricos a los cuales estaban expuestos durante la gestación y, después del parto, se seleccionó a 132 recién nacidos. A estos se les realizó una resonancia magnética antes de cumplir el primer mes de vida para observar el grado de maduración cerebral según sus niveles de mielinización.

Los resultados muestran una correlación clara entre una mayor exposición materna a PM2.5 durante el embarazo y una menor mielinización en el cerebro de los recién nacidos.

"La contaminación atmosférica, concretamente las PM2.5, se asocia con una alteración en el proceso de mielinización, un mecanismo esencial de maduración cerebral. Por ello hay que continuar controlando la contaminación y estudiar cómo esta ralentización puede influir en el desarrollo posterior del cerebro de los niños y niñas", expresa Martínez-Vilavella.

El trabajo también indica que este efecto responde a la combinación de los diferentes elementos que forman las PM2.5, sin que se pueda identificar un único elemento como responsable.

Las consecuencias, por determinar

Jesús Pujol, jefe de la Unidad de Resonancia Magnética del Servicio de Radiología del Hospital del Mar, añade que "en la primera etapa de la vida, los cambios en el cerebro son grandes y complejos. Tanto la ralentización excesiva como la aceleración de la maduración cerebral pueden ser perjudiciales para el niño o la niña".

Según Pujol, queda por determinar si el efecto observado es necesariamente nocivo. "Este estudio desarrolla un campo de investigación de gran interés para establecer cuál es la velocidad óptima de maduración cerebral durante el embarazo e incluso en qué punto la madre y la placenta actúan como filtros efectivos para proteger y optimizar este proceso", apunta.

Por su parte, el investigador de ISGlobal Jordi Sunyer, sostiene que "los hallazgos en estos recién nacidos, nacidos en Barcelona después de la primera fase de la zona de bajas emisiones nos alertan que no podemos desfallecer en los planes de descontaminar las ciudades. Hay que hacer más pasos adelante para lograr los nuevos criterios de calidad del aire".

Referencia:

Pujol J, Martínez-Vilavella G, Sunyer J et al. Unraveling the impact of prenatal air pollution for neonatal brain maturation.Environment International (2025).