TecnoXplora» SINC

ATACAN SOLO A LA CÉLULA TUMORAL

Nanopartículas para el tratamiento y seguimiento de la inmunoterapia contra el cáncer

Un equipo del Centro de Investigación del Cáncer han creado y evaluado in vitro e in vivo nanopartículas que mejoran terapias oncológicas y disminuyen su toxicidad.

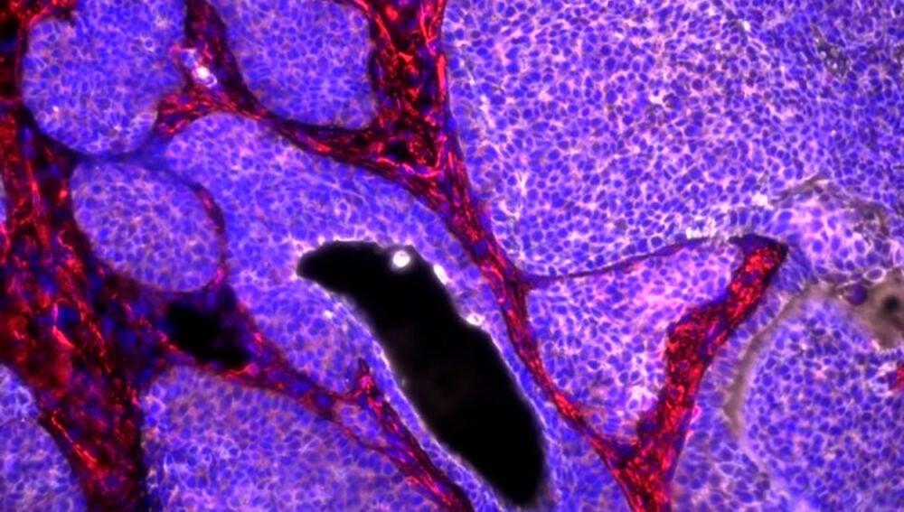
Cáncer de mama en ratónSinc

Investigadores del Centro de Investigación del Cáncer (CIC), centro mixto del CSIC y la Universidad de Salamanca, han diseñado un fármaco a partir de nanopartículas que ha demostrado su eficacia en el tratamiento y seguimiento de la inmunoterapia oncológica. El estudio, publicado en 'Journal of Nanobiotechnology', ha caracterizado y evaluado in vitro e in vivo la aplicación de unas nanopartículas que identifican y atacan de forma específica solamente a la célula tumoral.

"Hemos evaluado unas nanopartículas que presentan tanto un fármaco antitumoral derivado del cisplatino como una molécula que permite el seguimiento y trazabilidad de la nanopartícula en sistemas biológicos", explica Manuel Fuentes, investigador del CIC.

El equipo de Fuentes ha analizado qué ocurre desde que se administra la nanopartícula hasta que actúa en la zona del tumor. La caracterización y evaluación de sus aplicaciones abren una vía al diseño de nuevos fármacos antitumorales con aplicación en inmunoterapia.

Una de las funciones del sistema inmunitario es identificar las células cancerígenas del cuerpo y eliminarlas. Si desaparecen todas las células cancerígenas desaparece con ellas el cáncer. Sin embargo, en ocasiones las células cancerígenas desarrollan mecanismos para que el sistema inmunitario no pueda localizarlas y, por tanto, no son eliminadas del cuerpo mediante la respuesta inmune.

Un área muy prometedora en la investigación del cáncer, incluidos los tumores hematológicos, es la inmunoterapia, donde se está investigando cómo evitar que las células tumorales se oculten del sistema inmunitario. Conociendo estos mecanismos de respuesta se pueden desarrollar nuevos fármacos que mejoren la función de identificar y eliminar las células cancerígenas.

"Para conseguir este propósito de identificación y eliminación, cuando las células cancerígenas están pasando desapercibidas en el organismo, se debe manipular el sistema inmunitario para que recupere esta función, y este es el marco en el que estamos trabajando", señala el investigador.

Nanomedicina para un tratamiento personalizado

La nanomedicina es una especialidad de la biomedicina que puede aportar soluciones y el diseño de nuevos fármacos más eficientes. Mediante la nanomedicina se trabaja combinando nanopartículas que permiten manipular la respuesta inmune, actuando específicamente en las células cancerígenas y no en las células sanas.

Así, permite el desarrollo de la medicina personalizada y de precisión, al actuar solo en las células que deben ser eliminadas, evitando gran parte de los efectos secundarios de la quimioterapia. Otra ventaja de las nanopartículas es que detectan las células cancerígenas y transportan el fármaco de forma dirigida al tumor; facilitando incluso la entrada en la célula tumoral para mejorar su eficacia y disminuir la toxicidad en la zona del daño tisular.

En la investigación de nanopartículas se tiene que analizar la interacción de ésta con su entorno biológico, dependiendo de esta relación de la nanopartícula con las biomoléculas que la rodeen, determinará la eficiencia del fármaco, ya que influye en la absorción, distribución y los mecanismos de entrada en la célula, así como en la interacción con el sistema inmunitario. Dicha relación puede cambiar en especies y, por lo tanto, determinar la evolución de los ensayos preclínicos y clínicos.

Referencia:

Hernández, Á. P., Micaelo, A., Piñol, R., García-Vaquero, M. L., Aramayona, J.J., Criado, J. J., Fuentes, M. (2022). 'Comprehensive and systematic characterization of multi-functionalized cisplatin nano-conjugate: from the chemistry and biocompatibility to the animal model'. 'Journal of Nanobiotechnology', (2022)