TecnoXplora» SINC

'FRU'

Logran que una mosca de la fruta adquiera un comportamiento de otra especie activando un único gen

Investigadores japoneses han logrado que la Drosophila melanogaster adopte, por primera vez, la estrategia de "regalo nupcial" propia de otra especie de mosca. Para ello, activaron un único gen en neuronas productoras de insulina.

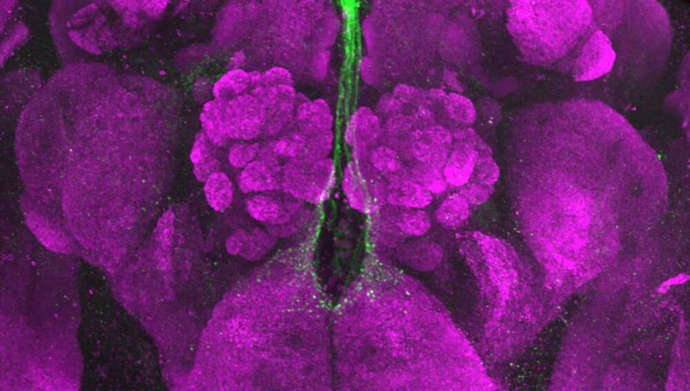
Neuronas productoras de insulina en Drosophila subobscuraSinc

Un equipo de científicos de la Universidad de Nagoya y del Instituto Nacional de Tecnología de la Información y las Comunicaciones (NICT), ambos centros en Japón, ha conseguido que una especie de mosca de la fruta adquiera un comportamiento de cortejo que nunca antes había mostrado.

Activando un solo gen en neuronas productoras de insulina, lograron que un ejemplar de Drosophila melanogaster o mosca de la fruta ofreciera alimento regurgitado a la hembra durante el cortejo, una conducta característica de la Drosophila subobscura. El trabajo aparece esta semana en la revista Science.

En la naturaleza, la mayoría de los machos de mosca de la fruta cortejan mediante un "canto nupcial" producido por el batir de las alas. Sin embargo, la especie subobscura ha desarrollado una estrategia diferente: regurgitar alimento y presentarlo como obsequio a la hembra. Este ritual no existe en especies cercanas como la melanogaster, que se separó evolutivamente de las subobscura hace entre 30 y 35 millones de años.

Ambas especies comparten un gen clave para el cortejo, llamado fru (abreviatura del inglés fruitless), pero lo utilizan de forma distinta. En las moscas que dan regalos, las neuronas productoras de insulina están conectadas con el centro cerebral que controla el cortejo, mientras que en las que cantan, esas conexiones no existen.

Sin crear nuevas neuronas

"Cuando activamos el gen en las neuronas productoras de insulina de las moscas cantoras para producir proteínas FruM, las células desarrollaron largas proyecciones neuronales y se conectaron con el centro de cortejo en el cerebro. Así, crean nuevos circuitos cerebrales que producen, por primera vez, el comportamiento de entrega de regalos nupciales en D. melanogaster", explica el Ryoya Tanaka, coautor principal y profesor de la Escuela de Posgrado de Ciencias de la Universidad de Nagoya.

"El hallazgo demuestra que la aparición de nuevas conductas no requiere necesariamente la creación de neuronas nuevas, sino que basta con un pequeño reordenamiento genético en unas pocas células preexistentes", explicó Yusuke Hara, coautor principal del estudio e investigador en el NCIT de Kobe. Según el equipo, este tipo de cambios puede favorecer la diversificación de comportamientos y contribuir a la diferenciación de especies.

El trabajo ofrece una nueva vía para entender cómo la evolución genera estrategias conductuales que ayudan a las especies a sobrevivir y, en última instancia, contribuyen a la diferenciación entre ellas.

"Hemos demostrado cómo podemos rastrear comportamientos complejos, como la entrega de regalos nupciales, hasta sus raíces genéticas para comprender cómo la evolución crea estrategias completamente nuevas que ayudan a las especies a reproducirse", señala Daisuke Yamamoto, autor principal y también profesor del NICT.

Referencia:

Hara, Y. et al. "Cross-species implementation of an innate courtship behavior by manipulation of the sex-determinant gene". Science, 2025.