TecnoXplora» SINC

LESIÓN MEDULAR

Logran reconectar la médula espinal seccionada de una rata gracias a espumas de grafeno

Un estudio liderado por el ICMM-CSIC demuestra el potencial de este material en la búsqueda de una cura para la lesión medular. Estas espumas 3D crean un entorno que promueve el crecimiento de vasos sanguíneos y componentes neuronales que reconectan con el cerebro en la zona de la lesión medular.

Los tejidos ‘colonizan’ el espacio hueco Sinc

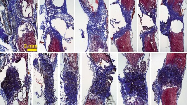
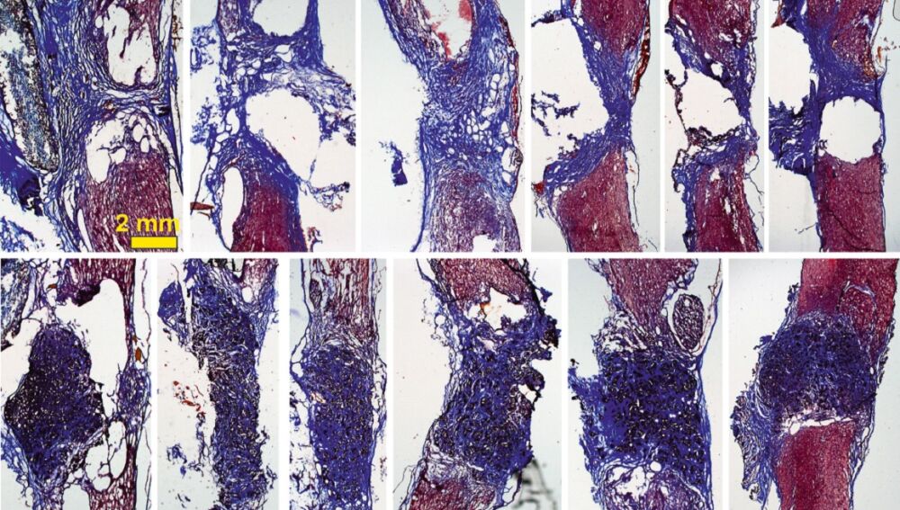
Un equipo del Instituto de Ciencia de Materiales de Madrid (ICMM-CSIC), dependiente del Ministerio de Ciencia, Innovación y Universidad (MICIU), ha logrado reconectar, en un modelo de rata, una médula espinal totalmente seccionada a nivel torácico gracias a una espuma en tres dimensiones creada con óxido de grafeno reducido.

El trabajo, que acaba de publicarse en la revista Bioactive Materials, demuestra el potencial de este material para el tratamiento de las lesiones medulares, y abre nuevos caminos de investigación hacia la cura de pacientes parapléjicos en diferentes estados de la enfermedad.

Cuando se produce una lesión en la médula espinal, normalmente esta no se rompe por completo, sino que las lesiones suelen afectar solo a una parte concreta, en uno o varios niveles de la extensión de la médula. Aun así, este trabajo ha querido demostrar que este material puede potenciar la reconexión del tejido neural incluso cuando la lesión es completa.

Así lo explica Conchi Serrano, investigadora del ICMM-CSIC y una de las autoras principales del trabajo: "Nuestro equipo había demostrado ya que estas espumas generan un ambiente prorreparativo en la médula espinal de rata, pero queríamos hacerlo también ampliando el tamaño de lesión y cambiando el nivel espinal, y hemos conseguido replicar los resultados".

Materiales para regeneración neural

Lo que ha conseguido este grupo, en estrecha colaboración con investigadores del Hospital Nacional de Parapléjicos de Toledo, como Juan Aguilar y Elisa López, ha sido preparar una espuma (llamada 'scaffold') con óxido de grafeno reducido: "Se le hace un tratamiento térmico, a 220 ºC, para eliminar el exceso de grupos de oxígeno y aumentar los enlaces químicos entre láminas, con lo que conseguimos una mayor estabilidad mecánica", explica Serrano, que lleva trabajando en este material para aplicaciones de regeneración neural más de una década.

De esta manera, cuando se coloca el scaffold en la médula espinal –en este caso en un modelo de rata con la médula espinal completamente seccionada a nivel torácico–, "vemos que aparecen gran cantidad de vasos sanguíneos, que son fundamentales para nutrir el nuevo tejido, y neuritas (los filamentos que unen unas neuronas con otras)".

La investigadora explica que con esto se observa “cómo las neuronas que han sobrevivido en la zona alrededor de la lesión proyectan sus prolongaciones a través del scaffold y lo invaden en toda su extensión 3D". Todo esto, además, mejora con el tiempo: los resultados son incipientes tras 10 días de implante, pero son mucho más prometedores a los 4 meses.

"Nuestros scaffolds de óxido de grafeno reducido favorecen el crecimiento de vasos sanguíneos más abundantes y más grandes, y neuritas más abundantes, más largas y, además, distribuidas de manera más homogénea en el espacio de la lesión", destaca Serrano.

Repuesta del cerebro

Además, han llevado a cabo registros electrofisiológicos con los que han observado la respuesta del cerebro cuando se estimula la médula por debajo de la zona dañada, y los resultados son más que reveladores: "Registramos respuesta en el cerebro, por lo que confirmamos no solo que hay tejido neural atravesando el scaffold, sino que vuelve a reconectarse con el cerebro".

En concreto, la respuesta se aprecia en la formación reticular, una zona de gran relevancia funcional para la función motora.

Este trabajo forma parte del proyecto Piezo4Spine, financiado por la Unión Europea a través del programa Pathfinder de Horizonte Europa, que busca curar las lesiones medulares gracias a la nanotecnología. Con este objetivo se están desarrollando también nanomedicinas, que en la siguiente fase de estos trabajos serán incorporadas al scaffold para promover aún más estos hallazgos regenerativos tan prometedores.

Referencia:

Marta Zaforas et al. "Graphene oxide scaffolds promote functional improvements mediated by scaffold-invading axons in thoracic transected rats". Bioactive Materials.